设为首页收藏本站

QQ登录

只需一步,快速开始

登录 | 立即注册 | 找回密码

喜乐心

查看: 784|回复: 3

卵巢囊肿

[复制链接]

1

主题

1

帖子

59

积分

注册会员

Rank: 2

积分
59
发表于 2017-3-13 17:39:09 来自手机 | 显示全部楼层 |阅读模式
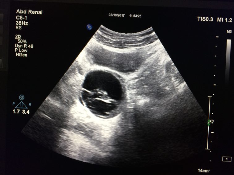
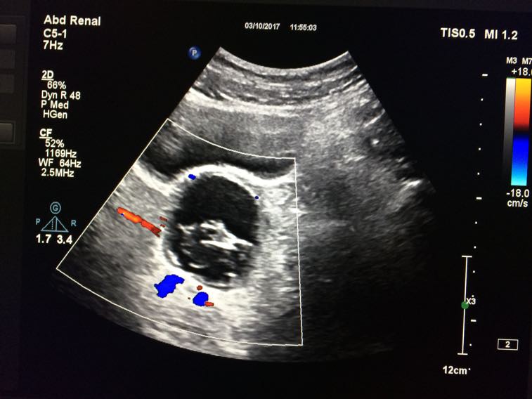
月经前一天做彩超示:右侧卵巢囊肿大小约为56×44mm ,乳腺增生。症状:月经推后十天,量少,色暗黑红,质稠,夹血块多。纳可眠可,大便不成型,小便正常。无痛经,无乳房胀痛,无腰酸,不怕冷。舌苔白腻,脉?囊肿经验方或者常用中药?
(null)_20170313173846158.jpg
(null)_20170313173846248.jpg
回复

使用道具 举报

0

主题

52

帖子

178

积分

注册会员

Rank: 2

积分
178
发表于 2017-3-14 03:19:14 来自手机 | 显示全部楼层
中医灸疗
回复

使用道具 举报

0

主题

222

帖子

806

积分

高级会员

Rank: 4

积分
806
发表于 2017-3-14 22:46:05 来自手机 | 显示全部楼层
手术
回复

使用道具 举报

2

主题

10

帖子

42

积分

新手上路

Rank: 1

积分
42
发表于 2017-3-15 00:08:22 来自手机 | 显示全部楼层
建议找当地好的妇科中医师专家去看,不建议手术
回复 支持 反对

使用道具 举报

发表回复

您需要登录后才可以回帖 登录 | 立即注册

本版积分规则

Copyright@2001-2016 www.xilexin.com All Right Reserived

QQ|小黑屋|手机版|Archiver|中医喜乐心 ( 京ICP备16016955号 )  

Powered by Discuz! X3.4 Copyright
© 2001-2013 Comsenz Inc.    All Rights Reserved.

QQ|小黑屋|手机版|Archiver|中医喜乐心 ( 京ICP备16016955号 )  

GMT+8, 2026-5-13 03:54 , Processed in 0.073995 second(s), 28 queries.

快速回复 返回顶部 返回列表